Warren Dentistry - Michigan
 
 

Warren Dentistry Brings Invisalign (Invisible Braces) to the Warren Michigan / Detroit Metro Area. We are the #1 Invisalign certified provider in Warren & Macomb County.

Dr. Dhayni was recognized in 2007 for being in the top 5% of all Invisalign providers in America.

Warren Dentistry Can Straighten Your Teeth With "Invisible" Braces.

Invisalign Informational Video
FREE Invisalign Consultation

Gone are the days when straight teeth meant enduring a mouthful of metal.

Now, with "Invisalign," you can straighten your teeth inconspicuously without the use of traditional metal braces.

Dr. Dhayni can help you easily achieve your ultimate smile with invisible braces and Invisalign.

Video Testimonial

Invisalign Special, Free Apple IPOD

Invisalign Informational Video



#1 Invisalign Premier Proivder 2007

With Invisalign invisible braces you can straighten your teeth without having to endure sharp metal and wires in your mouth. Invisalign allows you to straighten your teeth inconspicuously.

Invisible braces are becoming more and more popular. More than 100,000 people have discovered the benefits of using invisible braces. While it's true that invisible braces cannot fully replace metal braces in all instances, only the most severe cases will now require metal braces thanks to invisible braces and Invisalign.


How Does Invisalign Work?

Invisalign AlignerDr. Dhayni uses an invisible brace system that features a series of clear plastic aligners. This nearly invisible plastic is removable, making it possible to remove the invisible braces when eating or chewing gum. Better yet, with invisible braces you can brush your teeth and floss without the obstruction of metal braces getting in your way.

Dr. Dhayni will use the latest 3-D computer technology to create a model of your teeth. He will then use this model of your teeth to create a series of customized aligners. After you have worn your customized aligners for 2-3 weeks, a new set will be created. Every 2-3 weeks, a new set of customized aligners will be made for you until your teeth are perfectly aligned. Most people will experience perfect alignment in less than one year.

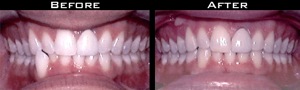
Before and After Pictures:

Case 1
Lumineers Before and After Photo Case 1
 
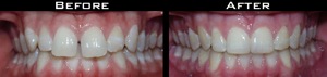
Case 2
Lumineers Before and After Photo Case 2
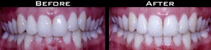
Case 3
Lumineers Before and After Photo Case 3
 
Case 4
Lumineers Before and After Photo Case 4
Case 5
Lumineers Before and After Photo Case 5
 
Case 6
Lumineers Before and After Photo Case 6


Straighten Your Teeth Inconspicuously!

Contact Dr. Dhayni to schedule an appointment to determine whether or not Invisalign is right for you.

Invisalign Trio Image

 

 
   
   
 
 
 
 
 
 
 
braces
Dental Implants
Invisalign
Lumineers
Teeth Whitening
Easy Financing
Insurance Plans
Smile Gallery

Academy of General Dentistry Member, Academy of Cosmetic Dentistry, American Academy of Implant Dentistry Member

Top Dentist & Invisalign Provider

Facebook/Youtube


Wonderful Staff.
Exceptional Care with a smile!
Dr. Dhayni is the only dentist
I trust to take care of my teeth.
Dr. M. Rizk, Cardiologist
Warren Dentistry
30205 Schoenherr Rd, Suite E. • Warren, MI 48088
Phone: 586-558-8200 • Fax: 586-558-8300
Call Us 7 Days A Week 8 AM - 10 PM
Credit Cards
They keep their appointment times and don't make you wait which is HUGE and everyone is extremely friendly & efficient!
Shelly Bryner, Michigan
 
Serving the following areas with exceptional care:
Auburn Hills, Berkley, Birmingham, Bloomfield Hills, Bloomfield Township, Centerline, Chesterfield, Clawson, Detroit, East pointe, Ferndale, Franklin, Fraser, Grosse pointe, Harrison Township, Hazel Park,
Huntington Woods, Lake Orion, Macomb Township, Madison Heights, Oak Park, Pontiac, Rochester, Roseville, Royal Oak, Shelby Township, Sterling Heights, Troy, Utica, Warren,
Washington Township, Waterford, West Bloomfield, Macomb County, Oakland County, Wayne County
 
Footer