Warren Dentistry - Michigan
 
 

Improve Your Smile with Dental Crowns and Bridges

Dental Crowns and Dental Bridges by Warren Dentistry in the Detroit Metro Area

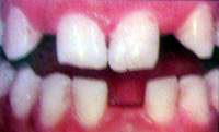
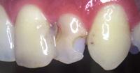
before: Dental Crowns and Bridges offer a Natural-Looking Smile

Are you embarrassed by missing or broken teeth?

Let Warren Dentistry restore your smile with high quality dental crowns or bridges.

Dental crowns and bridges can give you a dazzling, natural-looking smile that feels and looks great.

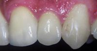
after: Dental Crowns and Bridges offer a Natural-Looking Smile

Crowns

Do you remember the dental crowns of yesteryear? The crowns that would eventually wear down, leaving a tooth with a dark gray line near the gum? Those old dental crowns are now a thing of the past. With today's cutting-edge dental technology, dental crowns can provide you with a natural-looking smile that will last you for years to come.

Today's dental crowns are created to reflect light much in the same way your natural teeth do, giving your smile a natural, healthy look. No longer will you see gray lines at the top of your teeth. Now you will just see a natural, white smile.

Whether you need a dental crown for cosmetic dentistry purposes or to seal a tooth after a root canal, Dr. Dhayni can provide you with the highest quality dental crowns available.

Bridges

Whether you're missing one tooth or numerous teeth, Dr. Dhayni can restore your smile with a high quality dental bridge. Using state-of-the-art materials and cutting-edge techniques, Dr. Dhayni can provide you with a dental bridge that makes your smile look healthy and natural.

Before and After Pictures:

before
before
after
after
before
before
after
after
before
before
after
after
before
before
after
after

It's Affordable

Most insurance plans will cover at least a portion of the cost of dental crowns or bridges. For the remaining balance, we offer affordable payments with easy, interest-free financing.

 

 
   
   
 
 
 
 
 
 
 
braces
Dental Implants
Invisalign
Lumineers
Teeth Whitening
Easy Financing
Insurance Plans
Smile Gallery

Academy of General Dentistry Member, Academy of Cosmetic Dentistry, American Academy of Implant Dentistry Member

Top Dentist & Invisalign Provider

Facebook/Youtube


Wonderful Staff.
Exceptional Care with a smile!
Dr. Dhayni is the only dentist
I trust to take care of my teeth.
Dr. M. Rizk, Cardiologist
Warren Dentistry
30205 Schoenherr Rd, Suite E. • Warren, MI 48088
Phone: 586-558-8200 • Fax: 586-558-8300
Call Us 7 Days A Week 8 AM - 10 PM
Credit Cards
They keep their appointment times and don't make you wait which is HUGE and everyone is extremely friendly & efficient!
Shelly Bryner, Michigan
 
Serving the following areas with exceptional care:
Auburn Hills, Berkley, Birmingham, Bloomfield Hills, Bloomfield Township, Centerline, Chesterfield, Clawson, Detroit, East pointe, Ferndale, Franklin, Fraser, Grosse pointe, Harrison Township, Hazel Park,
Huntington Woods, Lake Orion, Macomb Township, Madison Heights, Oak Park, Pontiac, Rochester, Roseville, Royal Oak, Shelby Township, Sterling Heights, Troy, Utica, Warren,
Washington Township, Waterford, West Bloomfield, Macomb County, Oakland County, Wayne County
 
Footer