Warren Dentistry - Michigan
 
 

WORST TEETH Pictures from Warren Dentistry

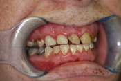
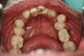
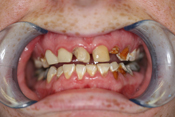
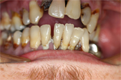
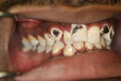
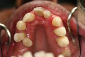
This can happen to your teeth when proper Dental Hygiene is not practiced.
Contact Dr. Dhayni to schedule a FREE Consultation 586-558-8200 to see if your properly caring for your teeth.

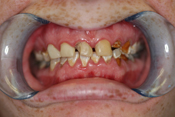
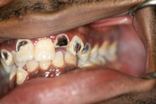
Patient 1      
Worst Teeth Image Worst Teeth Image Worst Teeth Image Worst Teeth Image

       
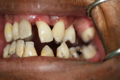
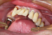
Patient 2      
Worst Teeth Image Worst Teeth Image Worst Teeth Image Worst Teeth Image

       
Patient 3      
Worst Teeth Image Worst Teeth Image Worst Teeth Image Worst Teeth Image

       
Patient 4      
Worst Teeth Image Worst Teeth Image Worst Teeth Image Worst Teeth Image

       
Patient 5      
Worst Teeth Image Worst Teeth Image Worst Teeth Image Worst Teeth Image

 

 
   
   
 
 
 
 
 
 
 
braces
Dental Implants
Invisalign
Lumineers
Teeth Whitening
Easy Financing
Insurance Plans
Smile Gallery

Academy of General Dentistry Member, Academy of Cosmetic Dentistry, American Academy of Implant Dentistry Member

Top Dentist & Invisalign Provider

Facebook/Youtube


Wonderful Staff.
Exceptional Care with a smile!
Dr. Dhayni is the only dentist
I trust to take care of my teeth.
Dr. M. Rizk, Cardiologist
Warren Dentistry
30205 Schoenherr Rd, Suite E. • Warren, MI 48088
Phone: 586-558-8200 • Fax: 586-558-8300
Call Us 7 Days A Week 8 AM - 10 PM
Credit Cards
They keep their appointment times and don't make you wait which is HUGE and everyone is extremely friendly & efficient!
Shelly Bryner, Michigan
 
Serving the following areas with exceptional care:
Auburn Hills, Berkley, Birmingham, Bloomfield Hills, Bloomfield Township, Centerline, Chesterfield, Clawson, Detroit, East pointe, Ferndale, Franklin, Fraser, Grosse pointe, Harrison Township, Hazel Park,
Huntington Woods, Lake Orion, Macomb Township, Madison Heights, Oak Park, Pontiac, Rochester, Roseville, Royal Oak, Shelby Township, Sterling Heights, Troy, Utica, Warren,
Washington Township, Waterford, West Bloomfield, Macomb County, Oakland County, Wayne County
 
Footer